

Beautiful Transformations



You Deserve the Best Care Get Started With Us Today

Dr. Kellyn Hodges and her staff offer advanced and compassionate orthodontic care for patients throughout the Philadelphia area. Whether you are looking to correct substantial misalignment or simply want straighter teeth and a more attractive smile, orthodontics can help.
With years of expertise in the specialty, Dr. Hodges proudly provides orthodontic solutions to the
Philadelphia area.
You can receive care from our team at one of our three convenient locations in Bensalem, Montgomeryville, or Bala Cynwyd.
Learn what orthodontics can do for you. To schedule a free consultation, contact us online or call:
(610) 753-5099
“I love this place and all the staff. They treat you so nice and welcoming. My teeth looks great and I’m getting many compliments. So beware you guys you just might have some new patients coming your way. Thank you so much I just love my smile”
– Yvette, 5-Star Review
"I've seen an amazing change in my smile."
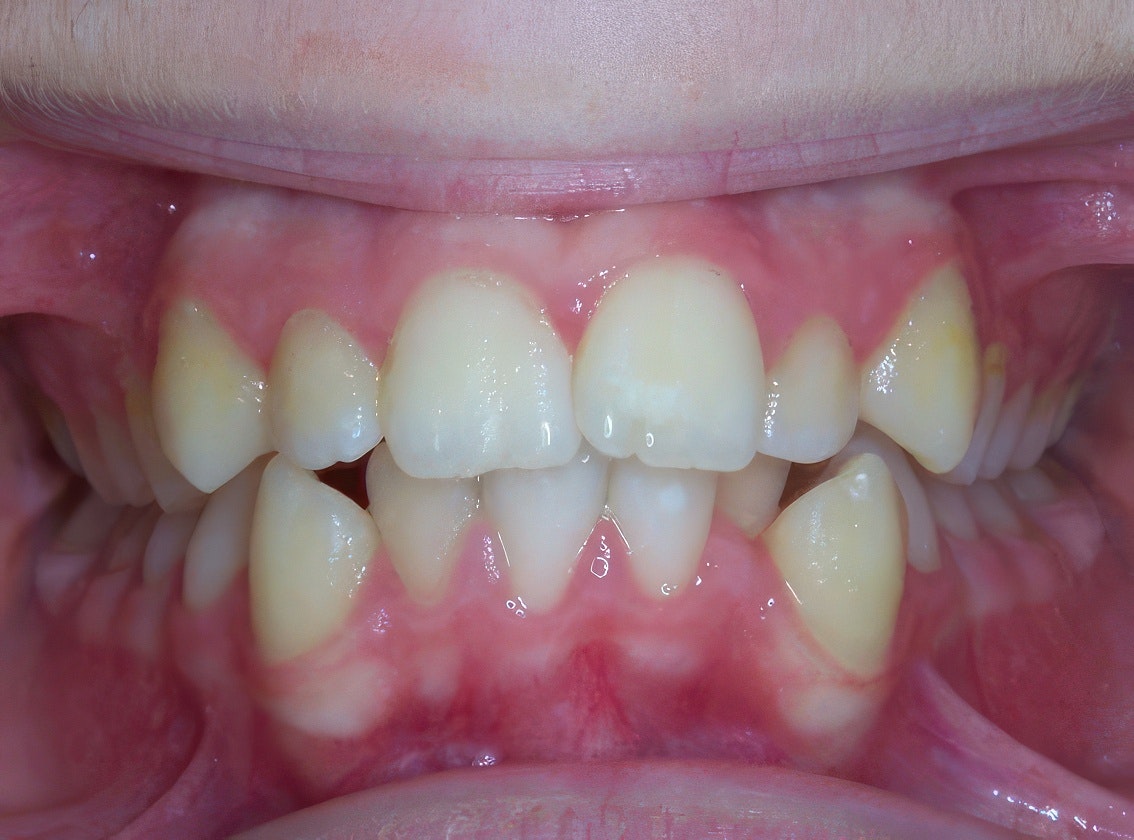
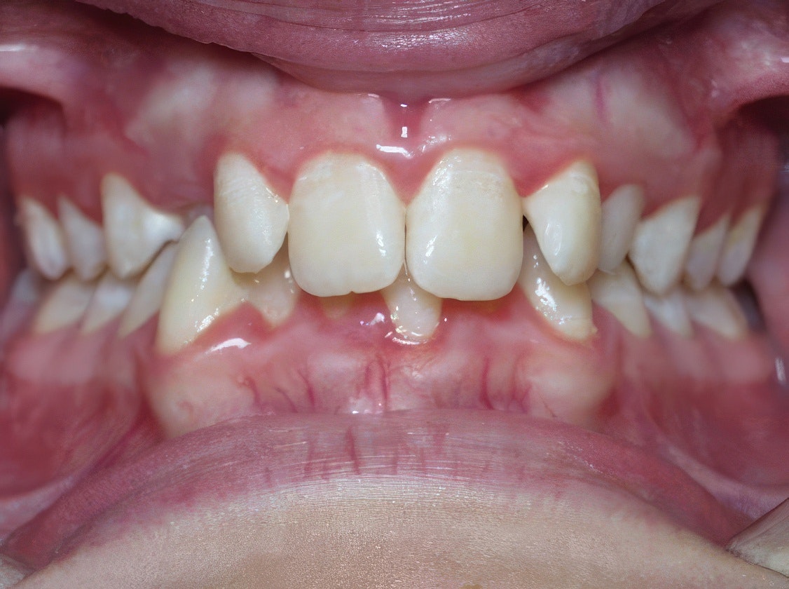
No Case Is Too Complex
Kellyn Hodges Orthodontics takes great pride in making big changes in our patients' smiles using the least invasive solution possible. This young patient had a serious underbite that we corrected through orthodontics alone. If you or your child have significant dental alignment issues, we would love to meet with you and discuss your case. The solution may be much simpler than you think!

Advanced Technology for Cutting-Edge Care
Our orthodontic practice in Greater Philadelphia, PA, has invested in state-of-the-art tools and systems to ensure our patients receive the finest treatment available. Our offices feature equipment like iTero® digital impressions (a comfortable alternative to traditional putty impressions), digital X-ray machines, and 3D intraoral scanners that make treatment planning more precise and customizable than ever before. We even have the ability to give you a preview of what your finished results will look like!
Enjoy Your Best Smile Yet Request a Consultation
Our orthodontists are committed to helping you achieve a lasting beautiful smile. Getting started with orthodontic treatment now means reaping the benefits of a straighter smile sooner.
At Kellyn Hodges Orthodontics, serving the Philadelphia area, we understand the importance of good oral health as well as the desire to obtain a beautiful smile. Dr. Kellyn Hodges has years of advanced specialty education and training in orthodontics and practices state-of-the-art orthodontic techniques. Call our practice to request a consultation at our Bala Cynwyd, Bensalem, or Montgomeryville offices to get a better idea of which orthodontic treatment is right for you:
(610) 617-0700
Featured Procedures
At any Kellyn Hodges Orthodontics office in the Philadelphia area, there is a range of options from which to choose. During your personal consultation, one of our doctors will create a custom plan that is ideal for your individual orthodontic needs and your budget.
Braces
We offer both traditional metal braces and clear ceramic braces. While traditional metal braces and their components are available in several different colors, clear ceramic braces can be just as effective as metal braces for patients without severe misalignment concerns. The ceramic option can provide a more discreet appearance without sacrificing the benefits of a non-removable appliance. Regardless of your age and goals, the orthodontists at our Philadelphia-area dentistry offices can improve the appearance of your smile and fix poor dental alignment that can cause early tooth loss and gum disease down the road.
Invisalign
Many of our patients in the Philadelphia area consider Invisalign® a great investment for several reasons. Invisalign utilizes custom-fitted clear aligners made of sturdy, durable, clear plastic. Invisalign aligners are virtually undetectable and much more comfortable than traditional braces. Invisalign aligners are worn for about 22 hours a day and will guide misaligned teeth into position. Your orthodontist may have you wear the Invisalign aligners for about the same time as traditional options, but you can improve your appearance discreetly.
Fast Acting Adult Braces (FAAB)
Over time, the teeth can turn and dental alignment can become crooked. Our Philadelphia orthodontists know that these changes are natural as your teeth gradually move due to the effects of aging and natural wear. Thanks to modern advancements in orthodontics, this type of dental misalignment can be corrected. With the FAAB treatment, teeth can be straightened quickly. Candidates must have fully matured jaws, relatively straight tooth roots, a well-aligned bite, and little if any crowding of the teeth. It is not a replacement for traditional orthodontics, but FAAB can restore a beautiful smile.
Wilckodontics
With Wilckodontics®, your orthodontic timeline can be reduced to one-quarter of the time of other options. Also known as Accelerated Osteogenic Orthodontics™ or AOO™, Wilckodontics pairs corrective orthodontics with bone remodeling at our Philadelphia practice to straighten teeth more quickly. Remodeling can be achieved by softening the supporting bone during a periodontal procedure. By making the bone more malleable, your teeth can be aligned efficiently. The procedure can also improve the strength and structure of your jaws. If periodontal work is involved, recovery may take up to 10 days.
Retainers Only Treatment
Some cases of malocclusion and bite misalignment are complex and require a major orthodontic procedure. In other cases, however, the imperfections are relatively minor but can still be treated. In order to address mild concerns, our Philadelphia-area orthodontists offer a type of treatment that only requires retainers. We offer several types of retainers. Some are fixed in place and completely hidden behind the teeth, while others consist of clear plastic trays. Removable retainers at our Philadelphia practice should ideally be worn for at least 20 hours a day.
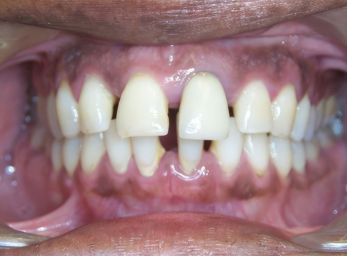
Dramatic Results Made Possible with Invisalign
This patient came to us wanting to correct lower crowding and a narrow dental arch. Thanks to Invisalign, he achieved both using a simplified orthodontic treatment that fits easily into any lifestyle. His smile is now easier to maintain, and clearly makes him feel more confident about smiling for photos. We have offices in Bala Cynwyd, Bensalem, and Montgomeryville—reach out to the location nearest you to request a consultation today.

Contact Our Practice
Schedule a Free Consultation
By offering such a wide array of options, we are able to resolve most orthodontic issues faced by our patients in the Philadelphia area. After a personal consultation with Dr. Hodges or another one of our practitioners, we will be able to give you a better idea of your options and how we can help.
Contact our Philadelphia practice to schedule a free consultation at the location most convenient for you. Contact us online or call us at:
(610) 617-0700
"I am very happy!"
I’ve just finished my treatment with Kellyn Hodges Orthodontics (Montgomeryville) and I am very happy with my results! I absolutely recommend their services, not only because they’re very good at what they do, but also because the office staff is very kind and pleasant, they maintain cleanliness and organization, and they’re always willing to work with you (Shoutout to Sonja!).
View on GoogleThe staff here are wonderful nice and office is clean . Linda is the nicest person she makes you feel comfortable and she makes me feel like I’m a special she is very complimentary which just makes the atmosphere and experience an excellent one !!! Highly recommend this orthodontist office
View on GoogleYou’re Never Too Old to Love Your Smile!
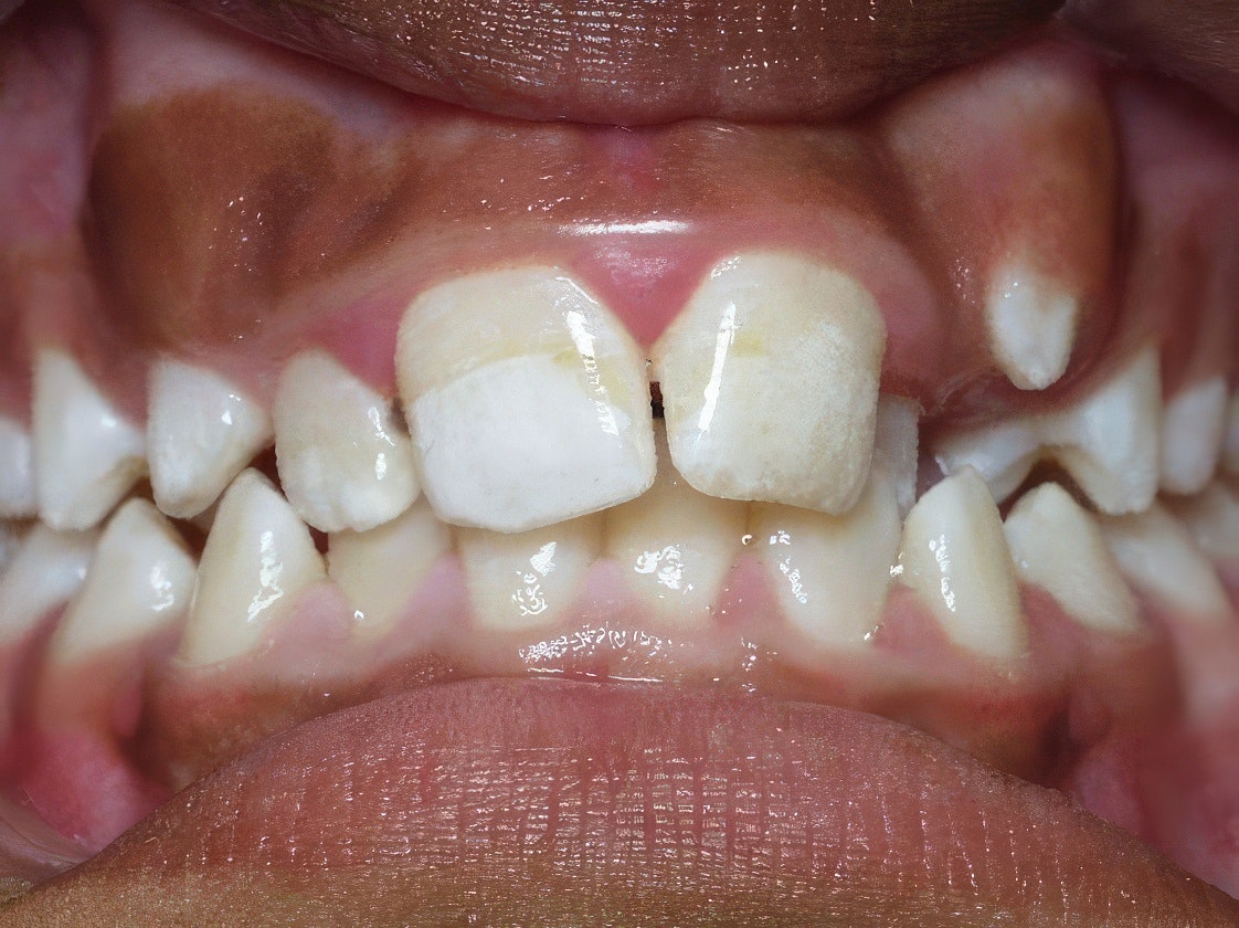
Although orthodontics is often associated with adolescents, the truth is that our expert treatment can benefit patients at any stage of life. We were able to close pronounced gaps in this patient's smile to give her beautiful results that complement her entire appearance. Whether you are looking forward to high school or well into your retirement years, our orthodontic treatments can give you the beautiful, confident smile you deserve.

Perfect Your Smile With Teeth Whitening
Many patients notice discoloration on their teeth after orthodontic treatment. It may be difficult to clean your teeth properly with braces and staining can occur if you drink colored liquids with Invisalign. To put the cherry on top of your new and improved smile, we offer Zoom in-office and at-home teeth whitening options to make your straightened smile sparkle.

FAQ
How long does orthodontic treatment take?
Depending on the type of orthodontics you choose, your treatment time will vary from a few months to a year or more. An orthodontist at our Philadelphia practice will examine your teeth and provide you with your estimated orthodontics timeline.
Are orthodontics covered by insurance?
If your oral health could be improved by an orthodontic procedure, it will typically be covered at least in part by your insurance plan. Our team can determine how much of your treatment is covered by insurance when you join us for a consultation. We also accept financing through CareCredit® for patients without insurance or without full coverage.
What does orthodontic treatment cost?
Depending on the type of orthodontic treatment you receive, the complexity of your case, and other factors, the cost can range from $4,000 to $8,000. We invite you to take a closer look at the cost of traditional orthodontics as well as the cost of Invisalign.
Can I use my HSA or FSA for orthodontics?
Health savings accounts (HSA) and flexible savings accounts (FSA) allow you to set aside untaxed money to pay for certain medical treatments. In most cases, the portion of the cost of orthodontic treatment not covered by your dental insurance qualifies as an eligible expense. If you're unsure, get in touch with your HSA or FSA provider.

"Thank you for my perfect smile!" Read Our 5-star Reviews
What a lovely place to have your perfect smile developed. The time and precision Dr. Hodges takes to make your smile perfect should make her orthodontics your only choice for care. Thank you for my perfect smile!
View on GoogleWonderful experience; Dr.Kellyn Hodgens and all of her staff really made my experience with getting braces amazing. I truly appreciate how Dr.Hodgens did a thorough job with my teeth and I would recommend Kellyn Hodgens Orthodontics to anyone who wishes to enhance their smile.
View on Google




















