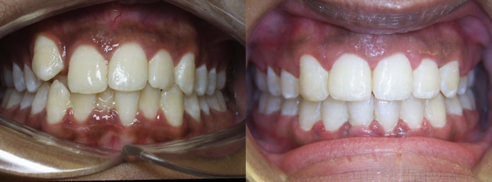
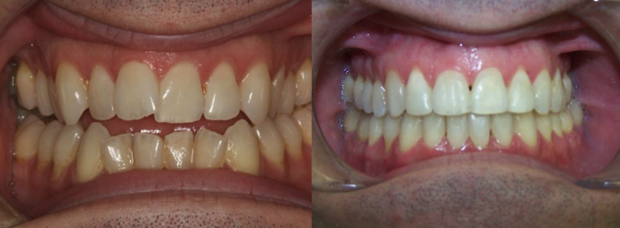
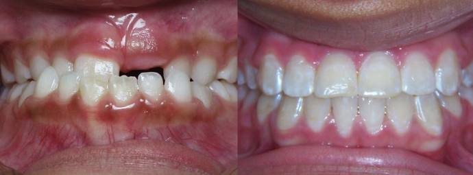
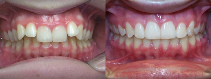
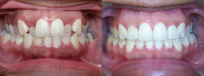
At Kellyn Hodges Orthodontics, serving patients in Bala Cynwyd, Bensalem, and throughout Philadelphia, we are committed to helping children and adults of all backgrounds achieve beautiful, healthy smiles. Our compassionate and widely respected doctors are members of prestigious dental organizations, including:
To reach our helpful, multilingual staff, call us at (610) 617-0700 or request a consultation online.
