Prevent Gum Disease with Periodontal Treatment
Gum disease is one of the most common conditions affecting Americans today, impacting approximately half of the adult population. Gum disease, also known as periodontal disease, can affect your oral health and overall health, causing infection, tooth decay, and in severe cases, tooth loss. To keep your smile strong and healthy, Dr. Kellyn Hodges and her experienced team provide comprehensive periodontal treatment at her offices in and around Philadelphia, PA.
Why Do I Need Periodontal Care?
Periodontal care can help to preserve your oral health by protecting you against gum disease. We recommend that patients schedule dental checkups twice per year for a professional teeth cleaning and oral health evaluation. During this appointment, our team can identify signs of periodontal disease and help you treat and manage symptoms.
In addition, studies have linked periodontal disease to serious health concerns including heart disease and elevated cholesterol. As a result, protecting your oral health can benefit your overall wellbeing.
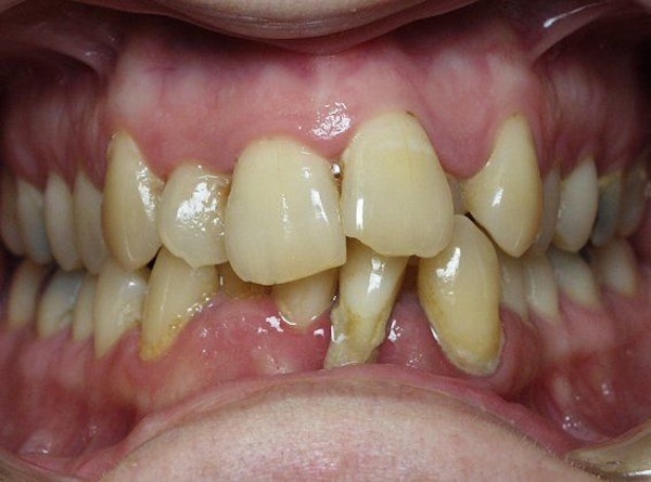
The Stages of Gum Disease
The earliest stage of gum disease is called gingivitis. This condition is caused by a buildup of plaque and tartar on the teeth and gums, causing inflammation. This is the only stage of gum disease that is reversible with routine dental cleanings. Signs of gingivitis include:
- Swollen gums
- Tender or red gums
- Dental sensitivity
- Bad breath
If left untreated, the gums may begin to separate from the teeth, forming periodontal pockets. These areas collect debris and infection-causing bacteria, which can ultimately damage the bone and connective tissue supporting the tooth. This stage, known as periodontitis, can result in tooth loss or require tooth extraction.

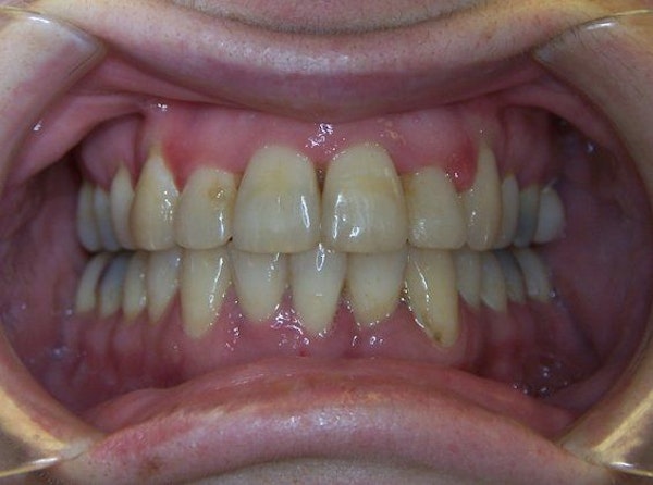
How is Periodontal Disease Treated?
Regular cleanings and exams can help to prevent the onset of gum disease or treat more advanced stages. If diagnosed in its earliest stages, gingivitis can be reversed with a combination of daily brushing, flossing, and routine dental cleanings.
During routine checkups, our team can identify signs of periodontal disease and help you treat and manage symptoms.
Scaling and Root Planing
Periodontitis requires more in-depth care. In many cases, your dentist will recommend a course of antibiotics to eliminate infection-causing bacteria. In addition, she may perform a deep cleaning, also known as scaling and root planing. During this process, our team can remove plaque from above and below the gum line and smooth the tooth roots to reduce your risk of future infection.
Gingivectomy
If gum disease has resulted in extensive tissue damage, your dentist can also perform a gingivectomy to remove and reshape diseased gum tissue. Before surgery, we can administer a local anesthetic to ensure your comfort. Your dentist will then remove infected tissue with a specialized tool. To protect soft tissue during recovery, she may place temporary putty over the gum line.
After your procedure, you can return to your normal routine. However, it is recommended that you limit your diet to soft foods and cool or lukewarm drinks. In addition, you may take over-the-counter anti-inflammatory medication to reduce any discomfort. Minor discomfort typically dissipates in less than one week, however, full recovery may take several weeks depending upon the extent of your procedure.
Ensure Your Long-Term Oral Health
Our practice provides affordable dentistry at all three offices in the Philadelphia area. If you are ready to protect your oral health or treat active gum disease, schedule a checkup today by calling (215) 245-5100 or filling out our online form.



