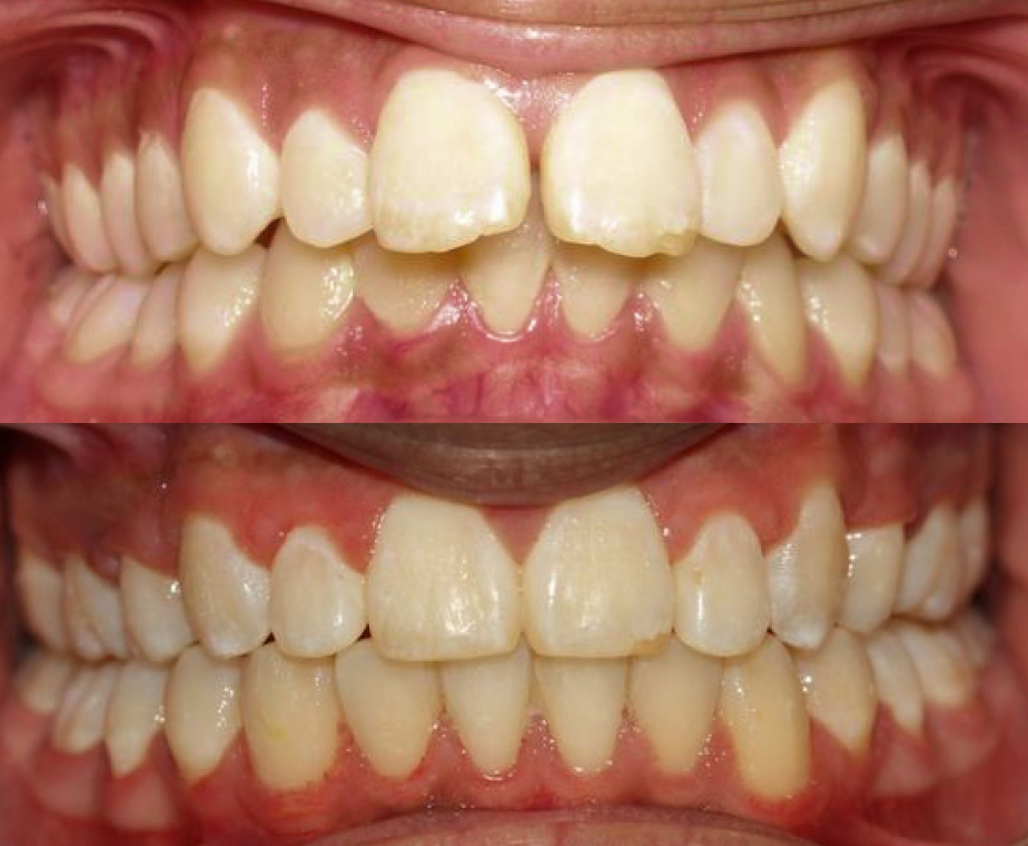
Orthodontics in Montgomeryville, PA
Delivering Confident Smiles in Montco
Advanced solutions for kids, teens, and adults
Multilingual team for accessible care
30+ years of expertise and 500+ 5-star Google reviews
Virtual consultations available


Why Choose Us for
Orthodontics in Montgomeryville, PA



“Immaculate.” What Montgomeryville Says About Us
“Dr. Kellyn Hodges office staff in the montgomeryville office was absolutely, accommodating professional courteous and absolutely friendly. The office is always immaculate. I will add that all my children. 3 boys have had there braces put on by Dr. Hodges and staff. Continue the good work that you do for us.” — Godfrey, 5-Star Review
Meet Our Montgomeryville Orthodontists
Dr. Kellyn Hodges
Dr. Kellyn Hodges is the founder and lead orthodontist at our Montgomeryville location. With more than 35 years of experience, she is known throughout the region for her clinical excellence and patient-centered approach. After graduating summa cum laude from Temple University with both her dental and orthodontic degrees, she went on to earn board certification from the American Board of Orthodontics.
Her leadership and vision shape everything we do. Patients and peers alike trust her not only for her skill but also for the integrity and compassion she brings to each case.
- Board certified with decades of focused orthodontic experience
- Respected by dentists and medical professionals across Montco
- Committed to conservative care and consistently outstanding outcomes

Dr. Kelly McMonagle
Dr. Kelly McMonagle is a Norristown native with a gift for combining clinical skill with creative precision. She earned both her undergraduate and dental degrees from Temple University, graduating summa cum laude and earning induction into the Omicron Kappa Upsilon Dental Honor Society. She went on to complete a competitive orthodontic residency at the University of Washington.
Known for her thoughtful demeanor and detailed treatment plans, Dr. McMonagle approaches every case with the care and attention she would give her own family.

Dr. Jeannie Wang
Dr. Jeannie Wang brings strong academic training and a calm, compassionate presence to our Montgomeryville office. She earned her Doctor of Dental Medicine from the University of Pennsylvania and completed her orthodontic residency there as well. Originally from Beijing and educated across the U.S., Dr. Wang combines cultural sensitivity with clinical excellence.
She enjoys helping patients feel comfortable and confident throughout their treatment journey, and often builds lasting relationships with the families she serves.

Orthodontics in Montgomeryville That Fits Your Budget
We want our patients to have access to expert orthodontic treatment without financial stress. Our team offers flexible options to keep care affordable and accessible.
- Complimentary consultations to help you plan with confidence
- Most dental insurance plans are accepted
- CareCredit® financing available with low monthly payments
- Personalized payment plans that work with your budget
Have questions? Our friendly staff is happy to walk you through your options and help you get started.
FAQ About Orthodontics in Montgomeryville, PA
Do I need general dentistry before starting orthodontics?
Sometimes, yes. Before starting braces or Invisalign, we may recommend addressing foundational concerns like gum health, tooth decay, or root canals. Fortunately, our Montgomeryville office offers comprehensive general dentistry and periodontal care, so you can take care of everything in one place.
How long does orthodontic treatment take?
Treatment timelines vary by case and method. Braces typically take 18–30 months, while Invisalign may take 12–24 months.
Should I choose braces or Invisalign?
That depends on your goals, lifestyle, and alignment needs. Both options are effective, but Invisalign may be better for adults who want more discretion.
“Absolutely love this practice; specifically the location in Montgomeryville. I’ve always had severe anxiety when it came to any dental work but i was so comfortable and relaxed here. Everyone was always really nice and professional. After yearsssss of struggling with my teeth, i finally have a perfect smile. Love it here, couldn’t recommend it more.” — Jahvoni, 5-Star Review


