Orthodontics in Bensalem, PA
“I truly can't say enough good things about this office.”
-Christine, 5-Star Review
Over 100 five-star reviews in Bensalem
Advanced care for complex cases
Discreet and fast treatment options
Convenient scheduling & free consults


What Sets Our Bensalem
Orthodontists Apart



The Lasting Benefits
of Orthodontics
Straightening your teeth isn’t just about aesthetics. It’s an investment in your health. Orthodontic treatment from our Bensalem team can deliver a wide range of long-term advantages:
- Healthier gums and teeth: Straight teeth are easier to clean, reducing your risk of cavities and gum disease.
- Improved bite function: Correcting bite alignment can make chewing and speaking easier and more comfortable.
- Less wear and tear: Even pressure distribution helps protect your teeth from chips, fractures, and uneven erosion.
- Fewer future procedures: Addressing alignment now can reduce your need for restorative care later in life.
- A confident smile: Many patients feel more self-assured in both social and professional settings after treatment.

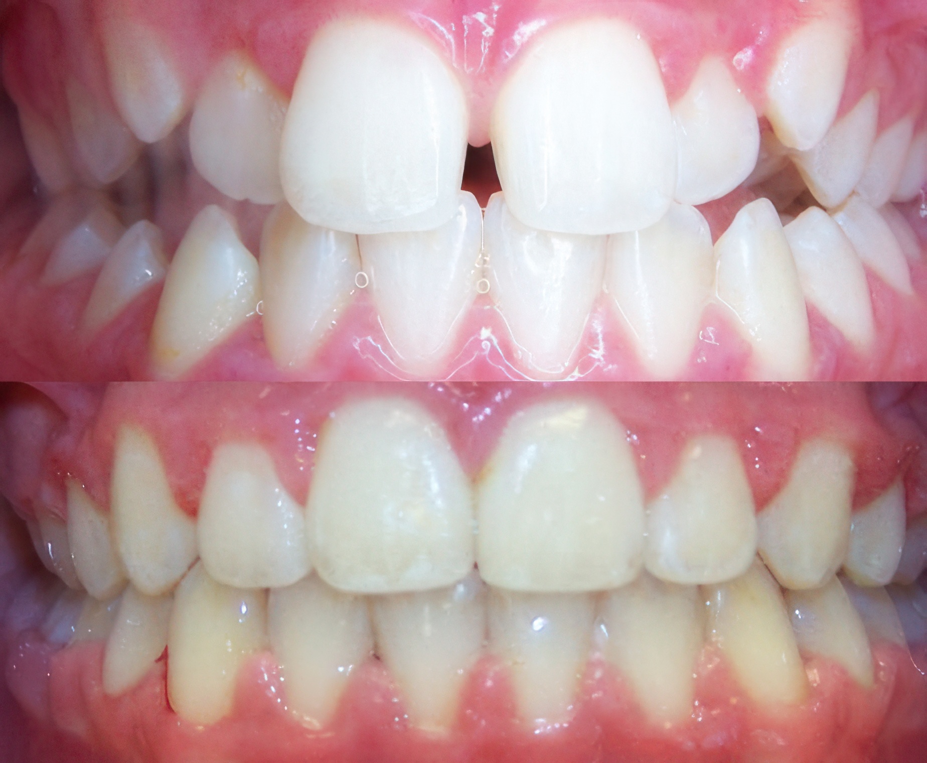
Real Invisalign Patient
Your New Smile Starts in Bensalem
You deserve a smile that feels just as good as it looks. At Kellyn Hodges Orthodontics in Bensalem, we make expert care accessible through advanced treatments, free consultations, and a friendly team that puts your comfort first.
Whether you’re exploring options for yourself or a loved one, our experienced orthodontists are here to support your journey from the very first visit. We proudly serve patients throughout Bensalem and the surrounding communities, with additional locations in Bala Cynwyd and Montgomeryville for added convenience.
“I just got my braces off and my teeth look amazing! Dr. Hodges and her staff have been phenomenal throughout this almost 3 year process lol. Also, the young lady Val that took off my braces and cleaned my teeth up did an amazing job!! I would definitely recommend this office. BTW my son now goes here for his braces and I'm bringing my other son for his consultation:)” — Katrina, 5-Star Review
Let’s talk about what’s possible for your smile.


Orthodontic Issues
We Can Correct
Orthodontic appliances go far beyond cosmetic fixes. At our Bensalem office, we treat a full range of common orthodontic concerns that can affect both your smile and your health:
Crowded teeth: Overlapping or tightly packed teeth that make cleaning difficult
Gaps and spacing: Unwanted spaces between teeth, often most visible in the front
Bite misalignment: Overbite, underbite, crossbite, and open bite concerns
Rotated or twisted teeth: Teeth that turn out of alignment within the arch
Grinding or jaw strain: Related to clenching, TMJ disorder, or uneven bite pressure
Each case is unique, and our team will tailor a plan to your exact needs.
Flexible Insurance and Payment Options

We Accept Most Dental Insurance Plans
Our team will verify your orthodontic benefits before treatment begins and help you make the most of your coverage. We accept most major dental insurance providers and will walk you through your expected out-of-pocket costs in advance.
Financing Options for Every Budget
We want orthodontic care to be accessible, no matter your financial situation. That’s why our Bensalem office accepts flexible financing through CareCredit®. During your consultation, we’ll explain your estimated costs and help set up a plan that works for you, with no surprises along the way.
Patients throughout Bensalem, Bala Cynwyd, and Montgomeryville rely on our offices for both personalized care and straightforward payment support.
Advanced Technology for More Comfortable Care
Our Bensalem office uses modern orthodontic technology to improve accuracy, shorten treatment time, and enhance your overall experience.
Digital impressions: We use iTero scanners to capture precise 3D images of your teeth without messy trays or putty.
Digital X-rays: Lower-radiation imaging helps us plan treatment safely and effectively.
3D treatment planning: Advanced software allows us to preview your expected results and personalize your plan from day one.
These tools help us deliver orthodontic care that is both efficient and comfortable, so you can feel confident at every stage of treatment.





