Orthodontics in Bala Cynwyd, PA
“Just got my braces off and the service was amazing!”
- S., 5-Star Review
300+ five-star reviews in Bala Cynwyd
Personalized plans for every age and goal
Advanced tools for precision and comfort
Free consultations and flexible scheduling


Trusted Orthodontic Care
in Bala Cynwyd



Begin Your Orthodontic Journey
in Bala Cynwyd
A straighter, healthier smile starts with the right team by your side. At Kellyn Hodges Orthodontics in Bala Cynwyd, we provide thoughtful care from your first consultation to your final retainer check. Our experienced orthodontists take the time to understand your needs and build a plan that fits your lifestyle and long-term goals.
We offer flexible appointment times, transparent guidance, and advanced treatment options for both kids and adults. Whether you’re new to orthodontics or returning for a touch-up, you’ll be welcomed with compassion and treated with respect.
Patients across Bala Cynwyd, Philadelphia, and Bensalem trust us for results they feel good about every day.
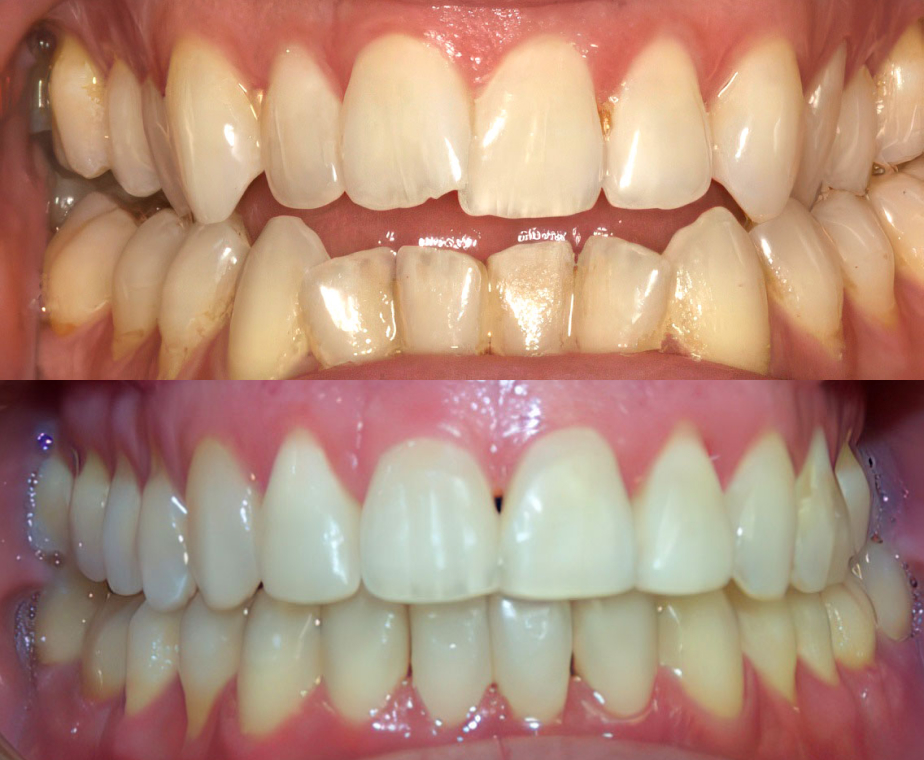
Common Alignment Issues We Treat
Orthodontic treatment isn’t just about aesthetics. Many alignment problems can lead to discomfort, hygiene challenges, or uneven wear over time. At our Bala Cynwyd office, we help patients address a wide variety of concerns, including:
Crowding: Teeth that overlap or sit too close together, making them harder to clean
Spacing: Visible gaps between teeth that may affect function or appearance
Bite problems: Including overbite, underbite, crossbite, or open bite
Twisted or turned teeth: Teeth that rotate out of position within the dental arch
Jaw tension: Often caused by grinding, clenching, or poor bite alignment
We take the time to evaluate your specific needs and create a care plan that supports your health and confidence.

Modern Tools Enhancing Your Experience
We’ve equipped our Bala Cynwyd office with advanced orthodontic technology to make your care more precise, efficient, and comfortable. From digital X-rays to 3D scanning, every tool we use is designed to improve your treatment planning and reduce guesswork.
We also use iTero digital impressions, which eliminate the need for messy trays and allow us to map your smile with speed and accuracy. This technology helps us create custom treatment plans that fit your goals and keep you comfortable throughout the process.
Our Bala Cynwyd office is proud to serve patients from across the Main Line and Greater Philadelphia region. Whether you’re new to orthodontic care or ready to explore your next step, we’re here to help you feel comfortable, confident, and fully supported from day one.

Making Orthodontics Affordable
At Kellyn Hodges Orthodontics, we’re committed to making expert care accessible. Our orthodontic office offers flexible monthly payment plans designed to ease the financial side of treatment. During your consultation, we’ll walk you through expected costs and help you build a plan that fits your budget. There are no surprises, just clear guidance.
We also accept most major dental insurance plans, and accept financing through CareCredit®. Our team will verify your orthodontic benefits ahead of time and explain your coverage in plain terms before any treatment begins. Whether you’re using insurance, financing, or a combination of both, we’re here to make the process simple and stress-free for patients in Bala Cynwyd, Philadelphia, and Bensalem.




